FIGURE SUMMARY
Title

Isl2b regulates anterior second heart field development in zebrafish

Authors
Witzel, H.R., Cheedipudi, S., Gao, R., Stainier, D.Y., Dobreva, G.D.
Source
Full text @ Sci. Rep.

Residual Isl1/2 positive cells in isl1−/− zebrafish hearts.

(ac) Confocal images of wild-type sibling and Tg(myl7:EGFP-HsHRAS)s883 isl1−/− embryos stained with anti-GFP and anti-Isl1/2 antibodies at 24 somites (a), 26 hpf (b) and 48 hpf (c). Arrows point to Isl1+ cells at the periphery of the cone (a) or Isl1+ cardiomyocytes at the venous pole of the atrium (b,c), arrowheads point to residual Isl1/2+ cardiomyocytes in the future ventricle (a) or the inner curvature of the ventricle and the outflow pole (b,c). Scale bars, 50 μm.

Islet family members are expressed in distinct patterns in the developing heart.

(a) Confocal images of control and Tg(myl7:EGFP-HsHRAS)s883isl1−/− embryos or Tg(myl7:EGFP-HsHRAS)s883 isl1−/− embryos following morpholino-mediated knockdown of Isl2a, Isl2b or Isl2a/Isl2b stained with anti-GFP and anti-Isl1/2 antibodies at 26 hpf. (b) Confocal images of Tg(flk1:EGFP) Isl2a/Isl2b morpholino-injected embryo stained with anti-GFP and anti-Isl1/2 antibodies at 26 hpf. Asterisk indicates the late ventricular region22. White arrows indicate Isl1+ cardiomyocytes at the venous pole of the atrium; yellow arrows point to Isl2a+ cells in the pericardial wall; yellow arrowheads point to Isl2a+ cells in the adjacent endoderm; white arrowheads point to Isl2b+ cardiomyocytes at the inner curvature of the ventricle and the outflow pole; blue arrowheads point to Isl1+ endothelial cells. Scale bars in (a,b), 50 μm. (c) Schematic representation of the distinct Isl1+, Isl2a+ and Isl2b+ populations at the linear heart tube stage.

Isl2b-deficiency leads to defects in anterior SHF development.

(a) Confocal images of control and isl2a−/− hearts stained with anti-tropomyosin antibody at 72 hpf, showing impaired displacement of the ventricle towards the right side. (b) Confocal images of control, isl2a−/− and isl2b−/− embryos stained with anti-MF20 antibody at 48 hpf. Isl2a−/− hearts were imaged from the side to analyze the role of isl2a in heart chamber formation. Scale bars in (a,b), 50 μm. (c,d) Number of atrial and ventricular cardiomyocytes (c) quantified following whole mount immunostaining with anti-Mef2 and anti-Amhc antibody (S46) of wild-type, isl2a−/− and isl2b−/− embryos at 48 hpf (d). (e,f) Number of atrial and ventricular cardiomyocytes (e) quantified following whole mount immunostaining with anti-Mef2 and anti-Amhc antibody (S46) of wild-type and isl2b−/− embryos at 30 hpf (f). (g) In situ hybridization for vmhc, ltbp3 and mef2cb of control, isl2a−/− and isl2b−/− embryos at 30 hpf. (h) In situ hybridization for vmhc, amhc and ltbp3 of control, isl2a−/−, isl2b−/− and isl1−/− embryos at 48 hpf. Data information: In (c), data are presented as mean ± SEM. ***p < 0.001 (Student’s t-test).

Isl2b controls the expression of key regulators of cardiogenesis.

(a,b) Relative mRNA expression of the Isl1 direct targets, Mef2c, Hand2 and Tbx20 in control and Isl1 knockdown mouse ES cells-derived embryoid bodies after 5 days of differentiation, a stage enriched in cardiac progenitors (a) and in dissected SHF of E9.25 Isl1 knockout mouse embryos (b). (c) In situ hybridization for isl1, isl2a and isl2b expression in zebrafish embryos at the 10 somite stage. (d) Transverse sections after in situ hybridization for isl1, isl2a and isl2b (c) counterstained with Sytox Green and imaged with a confocal microscope. Arrows point to isl1 and isl2b expressing cells in the cardiogenic region of the ALPM and in the TG (trigeminal placodes). Isl2a expression is observed in the periderm (arrowhead). Scale bars, 100 μm. (e) In situ hybridization for hand2, mef2ca, mef2cb, tbx20, nkx2.5 and tbx5a expression in control, isl2a−/− and isl2b−/− zebrafish embryos at the 10 somite stage. Data information: In (a,b), data are presented as mean ± SEM. *p ≤ 0.05, **p ≤ 0.01 (Student’s t-test).

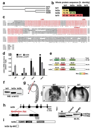
Conservation and expression of Islet family members.

(a) Guide tree of Isl1, Isl1l, Isl2a and Isl2b protein alignment (D. rerio) generated using the Protein Knowledgebase (UniProtKB). (b) Amino acid sequence alignment of Isl1, Isl1l, Isl2a and Isl2b (D. rerio) performed with Blastp (NCBI). Values represent % of identical amino acids. Red color indicates a lower percentage and green color a higher percentage of identity. (c) Amino acid sequence alignment of Isl1, Isl1l, Isl2a and Isl2b (D. rerio) performed using the Protein Knowledgebase (UniProtKB). The LIM1, LIM2 domains and the homeodomain (HOMEO) are highlighted in red. Asterisks (*) indicate positions with a single, fully conserved residue. Colons (:) indicate conservation of amino acids with highly similar properties and periods (.) with weakly similar properties. (d) Relative mRNA expression of isl1, isl1l, isl2a and isl2b at 10 s, 26 hpf, 30 hpf and 48 hpf. (e) Schematic representation of Isl1, Isl2a and Isl2b (D. rerio). The functional domains, as well as the entire amino acid sequences were aligned to mouse Isl1, whose protein sequence is identical to that of human Isl1. Numbers represent the percentage of identity of zebrafish Isl1, Isl2a and Isl2b with mouse Isl1. (f) Western blot analysis of total protein extracts from HEK293T cells transiently expressing zebrafish isl1, isl2a and isl2b using an anti-Isl1/2 antibody. (g) In situ hybridization for isl2a and isl2b at 26 hpf. Before in situ hybridization, the head was removed as indicated by the red dashed line and images were taken in the direction of the black arrow. White dashed lines indicate the position of the heart tube. The highly stained bilateral structures represent the pharyngeal arches. (h) Schematic representation of the isl2b genomic locus and the binding sites of the morpholino oligo (shown in red). The loss of proper exon-intron junction recognition leads to an altered mRNA containing a premature stop-codon. (i) Schematic representation of the Isl2b protein and Isl2b-morphant protein (bottom). (j) RTPCR analysis of isl2b-splice morpholino-injected embryos. The efficiency of isl2b Sp-MO was analyzed by PCR using primers spanning the first intron of the isl2b gene. This analysis indicated loss of spliced isl2b mRNA (1172 bp band) in embryos injected with the isl2b Sp-MO.

Distinct patterns of expression of Islet family members in the developing heart.

(a) Confocal images of control and Isl2b morpholino-injected Tg(myl7:EGFP-HsHRAS)s883 isl1-/- embryos stained with anti-GFP and anti-Isl1/2 antibodies at 26hpf. Optical sections showing residual Isl2a+ cells in the pericardial wall adjacent to the arterial pole (orange arrows) and in endodermal cells on top of the heart tube (orange arrowheads) in Isl2b morpholino-injected isl1- /- embryos. Isl2b+myl7+ expressing cells (white arrowheads in wild-type embryos) are lost in Isl2b morpholino-injected isl1-/- embryos. (b) Confocal images of control and Tg(kdrl:EGFP)s843isl1-/- Isl2b morpholino-injected embryos stained with anti-GFP and anti-Isl1/2 antibodies at 26 hpf. Optical sections showing Isl1+flk1+ cells located in the endocardium of the forming ventricle, as well as in the vessels at the arterial pole (blue arrowheads) in wild-type embryos. These cells are not detectable in isl1-/- Isl2b-MO embryos, suggesting that they do not express Isl2a. Scale bars, 50 μm.

Expression of isl2b in zebrafish embryos at the 3 and 5 somite stages, detected using in situ hybridization.

Arrows point to isl2b expressing cells in the ALPM and in the TG (trigeminal placodes).

EXPRESSION / LABELING:
Gene:
Fish:
Anatomical Terms:
Stage Range: 1-4 somites to 5-9 somites
Acknowledgments
This image is the copyrighted work of the attributed author or publisher, and ZFIN has permission only to display this image to its users. Additional permissions should be obtained from the applicable author or publisher of the image. Full text @ Sci. Rep.