FIGURE
Fig. 3
- ID
- ZDB-FIG-180920-23
- Publication
- Ledwon et al., 2018 - The expression of fgfr3 in the zebrafish head
- Other Figures
- All Figure Page
- Back to All Figure Page
Fig. 3
|
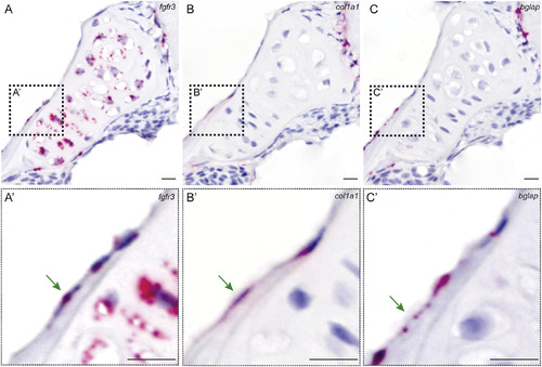
Comparative analysis of in situ hybridization for fgfr3, col1a1, and bglap. Pterosphenoid cartilage at 14 wpf (SL 20 mm) specimen, 64x magnification. A) fgfr3; B) col1a; C) bglap. Inset windows (A′, B′, C′) are digital magnifications to illustrate cells positive for the corresponding probes indicated by green arrows. Dashed boxes in upper panels are magnified and shown in the lower panels. Scale bar = 20 μm. |
Expression Data
| Genes: | |
|---|---|
| Fish: | |
| Anatomical Term: | |
| Stage: | Adult |
Expression Detail
Antibody Labeling
Phenotype Data
Phenotype Detail
Acknowledgments
This image is the copyrighted work of the attributed author or publisher, and
ZFIN has permission only to display this image to its users.
Additional permissions should be obtained from the applicable author or publisher of the image.
Reprinted from Gene expression patterns : GEP, 29, Ledwon, J.K., Turin, S.Y., Gosain, A.K., Topczewska, J.M., The expression of fgfr3 in the zebrafish head, 32-38, Copyright (2018) with permission from Elsevier. Full text @ Gene Expr. Patterns