FIGURE

Fig. S4

ID
ZDB-FIG-100603-37
Publication
Piloto et al., 2010 - Ovo1 links Wnt signaling with N-cadherin localization during neural crest migration
Other Figures
All Figure Page
Back to All Figure Page
Fig. S4

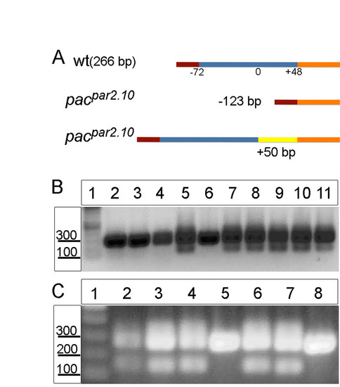
Identification of pacpar2.10 (ncadb>+/b>/b>-) mutants. (A) Schematic of the different ncad mutant isoforms. The wild-type product is 266 bp; mutants contain either a smaller 143 bp form or larger isoforms with as many as 50 additional nucleotides. (B,C) RT-PCR for ncad in pacpar2.10 heterozygous embryos injected with Ovo1 MO (B, all lanes; C, lanes 6-8) or with Rab11fip2 RNA (C, lanes 3-5). All embryos with ectopic dorsal NC cells (B, lanes 7-11; C, lanes 3,4,6,7) are heterozygous for pacpar2.10, whereas embryos whose NC cells migrated normally do not exhibit alternative spliced forms of ncad (B, lanes 2-6; C, lanes 5,8). Uninjected pacpar2.10 heterozygous control (C, lane 2).

Expression Data

Expression Detail
Antibody Labeling
Phenotype Data

Phenotype Detail
Acknowledgments
This image is the copyrighted work of the attributed author or publisher, and ZFIN has permission only to display this image to its users. Additional permissions should be obtained from the applicable author or publisher of the image. Full text @ Development