FIGURE

Fig. 4

ID
ZDB-FIG-111026-4
Publication
Smith et al., 2011 - Bmp and Nodal Independently Regulate lefty1 Expression to Maintain Unilateral Nodal Activity during Left-Right Axis Specification in Zebrafish
Other Figures
All Figure Page
Back to All Figure Page
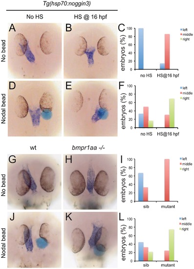
Fig. 4

Rescue of Bmp-related cardiac laterality defects by Nodal beads.

In situ hybridisation for myl7 to highlight the position of the linear heart tube at 30 hpf. Tg(hsp70l:nog3) embryos with no heat-shock (A,D) or heat-shocked at 16 hpf (B,E). Beads (blue) preincubated with recombinant Nodal protein placed in the right ALPM of non-heat-shocked (D) or heat-shocked (E) Tg(hsp70l:nog3) embryos at 17–18 hpf. Control siblings (G,J) or MZbmpr1aa mutant embryos (H,K). Beads (blue) preincubated with Nodal protein placed in the right ALPM of siblings (J) or MZbmpr1aa mutant embryos (K). Position of the inflow pole of the linear heart tube was determined for embryos without a Nodal bead (C) and for embryos in which a Nodal bead was placed on the right side (F). Embryos are shown as dorsal views with anterior to the top and left to the left.

Expression Data
Gene:
Fish:
Condition:
Anatomical Term:
Stage: Prim-15

Expression Detail
Antibody Labeling
Phenotype Data
Fish:
Condition:
Observed In:
Stage: Prim-15

Phenotype Detail
Acknowledgments
This image is the copyrighted work of the attributed author or publisher, and ZFIN has permission only to display this image to its users. Additional permissions should be obtained from the applicable author or publisher of the image. Full text @ PLoS Genet.