IMAGE

Fig. 6

ID
ZDB-IMAGE-250811-41
Source
Figures for Li et al., 2025
Image
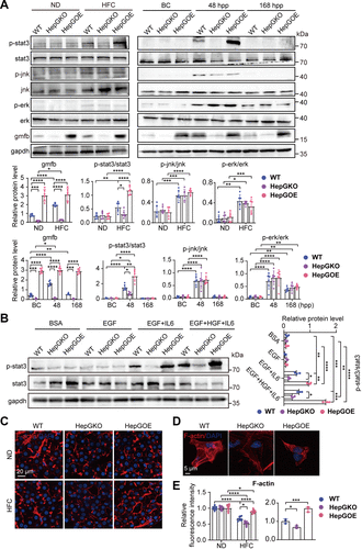
Figure Caption

Fig. 6 Gmfb enhances il6/stat3 activation and actin-filaments distribution in zebrafish hepatocytes. A: expression levels of proteins p-stat3, stat3, p-jnk, jnk, p-erk, erk, gmfb, and gapdh normalization control in liver samples from PHX and MASLD models of WT, HepGKO, and HepGOE zebrafish. n = 6 samples, one fish per sample for PHX model and 10 fish per sample for MASLD model. Data were presented as relative expression levels. One-way ANOVA, *P < 0.05, **P < 0.01, ***P < 0.001, ****P < 0.0001 vs. ND, BC, or WT group. B: expression levels of proteins p-stat3, stat3, and gapdh normalization control in zebrafish primary hepatocytes treated with BSA, EGF, EGF plus IL6, or EGF plus HGF plus IL6, respectively. n = 3 samples per group, 8 fish per sample. Data were presented as relative expression levels. One-way ANOVA, *P < 0.05, **P < 0.01, ***P < 0.001, ****P < 0.0001 vs. BSA or WT group. C: representative images of phalloidin stained (red) F-actin in liver slices from ND and HFC groups of WT, HepGKO, and HepGOE zebrafish. Scale bar = 20 μm. n = 8 samples per group, one fish per sample. D: representative images of phalloidin stained (red) F-actin in 24 h post-seeding primary hepatocytes isolated from WT, HepGKO, and HepGOE zebrafish. Scale bar = 5 μm. n = 3 samples per group, 8 fish per sample. E: quantification of phalloidin (red) fluorescence intensity in C and D. One-way ANOVA, *P < 0.05, ***P < 0.001, ****P < 0.0001 vs. ND or WT group. Experiments were repeated on 3 clutches. BC, baseline control; BSA, bovine serum albumin; EGF, epidermal growth factor; erk, extracellularly regulated kinase; gapdh, glyceraldehyde-3-phosphate dehydrogenase; gmfb, glia maturation factor-β; hep-gmfb, gmfb in hepatocyte; HepGKO, hepatocyte-specific gmfb knockout; HepGOE, hepatocyte-specific gmfb overexpression; HFC, high fat, high cholesterol diet; HGF, hepatocyte growth factor; IL6, interleukine 6; jnk, c-jun N-terminal kinase; MASLD, metabolism-associated steatotic liver disease; ND, normal diet; stat3, signal transducer and activator of transcription 3; WT, wild-type.

Acknowledgments
This image is the copyrighted work of the attributed author or publisher, and ZFIN has permission only to display this image to its users. Additional permissions should be obtained from the applicable author or publisher of the image. Full text @ Am. J. Physiol. Gastrointest. Liver Physiol.