Image
                    
                    
                
                
            
        
        
    
        
            
            
        
        
    
    
    
                
                    
                        Figure Caption
                    
                    
                
                
            
        
        
    
        
            
            
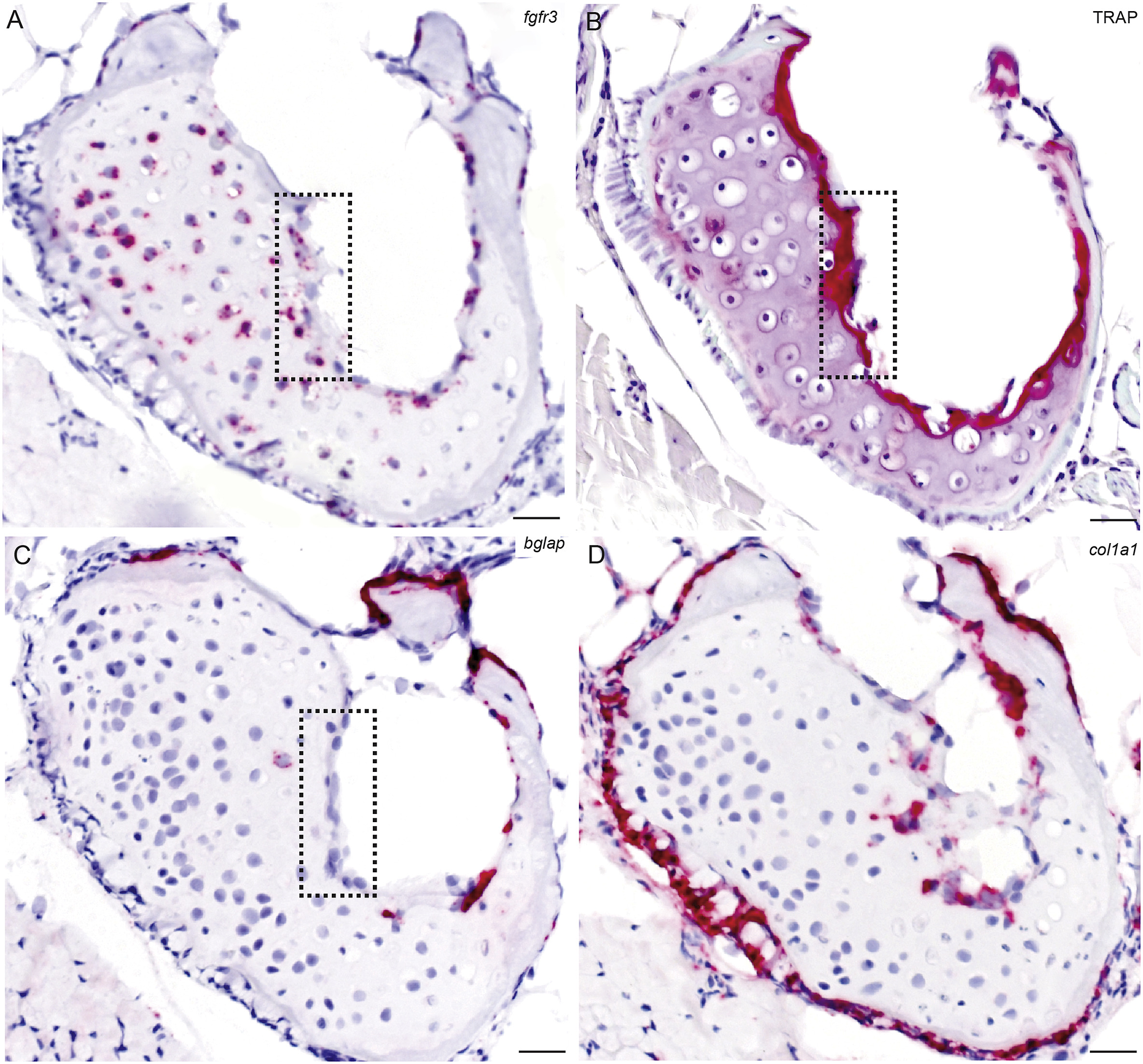
Fig. 4
Comparative analysis of fgfr3, col1a1 and bglap expression with TRAP activity in the ceratohyal cartilage. Adjacent paraffin sections collected from adult at 14 wpf (SL 20 mm) specimen, 40x magnification. A) in situ stain for fgfr3; B) TRAP staining; C) in situ stain for bglap; D) in situ stain for col1a1. Dashed box indicates cells positive for fgfr3 and TRAP and negative for bglap. Scale bar = 20 μm.
                
                    
                        Figure Data
                    
                    
                
                
            
        
        
    
        
            
            
 
    
    
        
    
        
        
    
    
    
                
                    
                        Acknowledgments
                    
                    
                
                
            
        
        
    
        
            
            
                
                    
                        
This image is the copyrighted work of the attributed author or publisher, and
ZFIN has permission only to display this image to its users.
Additional permissions should be obtained from the applicable author or publisher of the image.
    Reprinted from Gene expression patterns : GEP, 29, Ledwon, J.K., Turin, S.Y., Gosain, A.K., Topczewska, J.M., The expression of fgfr3 in the zebrafish head, 32-38, Copyright (2018) with permission from Elsevier. Full text @ Gene Expr. Patterns