IMAGE

Fig. 2

ID
ZDB-IMAGE-140715-1
Source
Figures for Laranjeiro et al., 2014
Image
Figure Caption

Fig. 2

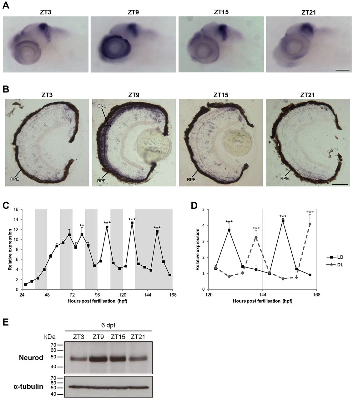
neurod rhythmic expression is restricted to retinal photoreceptors. (A,B) Representative images at four time points of neurod WISH on 6 dpf larvae (A) and of in situ hybridisation for neurod on 6 dpf larval eye sections (B). ZT, zeitgeber time; RPE, retinal pigment epithelium; ONL, outer nuclear layer. (C) qPCR analysis of neurod expression in zebrafish larvae raised on an LD cycle until 6dpf and then transferred to DD on day 7 (n=3). White and grey backgrounds represent light and dark phases, respectively. (D) qPCR analysis of neurod expression in 6-7dpf larvae raised on an LD cycle or a DL cycle (n=3). Statistically significant differences between the expression peak and trough on each day (Fisher′s LSD test) are indicated: **P<0.01, ***P<0.001. Error bars indicate s.e.m. (E) Representative western blots of Neurod and α-tubulin expression on 6dpf larvae at four time points. Scale bars: 100μm in A; 50μm in B.

Acknowledgments
This image is the copyrighted work of the attributed author or publisher, and ZFIN has permission only to display this image to its users. Additional permissions should be obtained from the applicable author or publisher of the image. Full text @ Development