FIGURE

Fig. 4

ID
ZDB-FIG-140221-22
Publication
Drummond et al., 1998 - Early development of the zebrafish pronephros and analysis of mutations affecting pronephric function
Other Figures
All Figure Page
Back to All Figure Page
Fig. 4

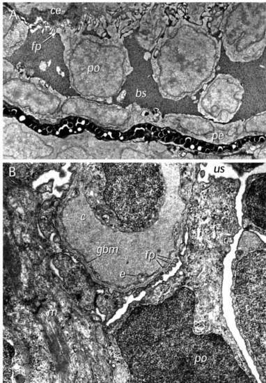
Electron microscopy of the wild-type glomerulus. (A) Ultrastructure of the forming glomerulus at 40 hpf. A longitudinal section (similar to that presented in Fig. 2D) shows podocytes (po) extending foot processes (fp) in a dorsal direction and in close contact with capillary endothelial cells (ce). Bowman’s space (bs) appears filled with an electron-dense precipitate and the ventralmost cells appear to be taking on the flattened appearance of the parietal epithelium (pe) that will line Bowman’s capsule. (B) Glomerulus and filtration barrier of the wild-type pronephros at 3.5 days postfertilization. The filtration barrier is well developed displaying an endothelium with open pores (without diaphragm), a thin trilaminar glomerular basement membrane (gbm) and podocytes with primary processes and numerous interdigitating foot processes (fp). The filtration slits between the foot processes are bridged by one or sometimes two slit membranes. Mesangial cells (m) are also evident. us, urinary space; c, capillary space; e, endothelial cell. ×36,500.

Expression Data

Expression Detail
Antibody Labeling
Phenotype Data

Phenotype Detail
Acknowledgments
This image is the copyrighted work of the attributed author or publisher, and ZFIN has permission only to display this image to its users. Additional permissions should be obtained from the applicable author or publisher of the image. Full text @ Development