FIGURE

Fig. S6

ID
ZDB-FIG-131015-58
Publication
Wei et al., 2013 - miR-153 Regulates SNAP-25, Synaptic Transmission, and Neuronal Development
Other Figures
All Figure Page
Back to All Figure Page
Fig. S6

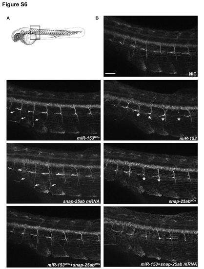
miR-153 regulates secondary motor neuron development. (A) Immunofluorescence was performed on whole mount zebrafish embryos at 55 hpf using Zn-8 antibodies to label secondary motor neurons. Confocal images were acquired from the same somites for all embryos, as indicated. (B) miR-153 knockdown (miR-153MO) and snap-25a,b overexpression significantly increased the growth of secondary motor neuron axons (arrows). Overexpression of miR-153 or knockdown of snap-25a,b (snap-25a,bMO) caused severe defects in axon development and architecture (asterisks). Scale bar: 40 μm.

Expression Data
Antibody:
Fish:
Knockdown Reagents:
Anatomical Term:
Stage: Long-pec

Expression Detail
Antibody Labeling
Phenotype Data
Fish:
Knockdown Reagents:
Observed In:
Stage: Long-pec

Phenotype Detail
Acknowledgments
This image is the copyrighted work of the attributed author or publisher, and ZFIN has permission only to display this image to its users. Additional permissions should be obtained from the applicable author or publisher of the image. Full text @ PLoS One