Stage-dependent expression of zebrafish ints14 mRNA. (A) RT-PCR analysis of ints14 expression in developing zebrafish embryo. The number indicates different development stages as hour post fertilization (hpf). Embryos of indicated stages were collected and applied to RT-PCR using beta-actin as internal control. (B) Whole-mount in situ hybridization analysis of ints14 expression in zebrafish embryo at the indicated developmental stage. All panels are dorsal, top, or lateral views with animal poles up or anterior to the left. Scale bars indicate 250μm. RT-PCR, reverse transcription polymerase chain reaction.

EXPRESSION / LABELING:
Gene:
Fish:
Anatomical Terms:
Stage Range: 4-cell to Day 4

Schematic representation of sgRNA (RG1) specific to exon 2 and primers for PCR genotyping of the zebrafish ints14 locus in chromosome 18. Nucleotide sequence in exon 2 indicating the location and sequence of gRNA target site, predicted double-stranded break (DSB) (red word), and protospacer adjacent motif (PAM) (GGG, red).

Test of activity for ints14 RGEN in zebrafish. (A) To identify the efficiency of the sgRNA, we co-injected ints14 sgRNA (RG1) and Cas9 protein. Co-injected embryos showed that the sgRNA efficiently generated mismatched DNA when the T7 endonuclease I (T7E1) assay was performed. (B) The TA-cloning and sequencing results demonstrate that a deletion of approximately 12 bp can be achieved via the RGEN system.

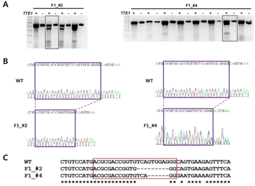
Generation of ints14 knockout zebrafish model using CRISPR/Cas9 gene editing technology. (A) F0 individuals, upon reaching adulthood, transmitted the ints14 knockout mutation to their offspring, illustrating a high efficiency of targeted mutagenesis for the established lines #2 and #4 by T7E1 assay. (B, C) Results of sequencing found that F1_#2 and F1_#4 individuals exhibited 9 and 6 bp deletions, respectively; thus, frameshift mutation in ints14 led to a modification of the termination site, resulting in the early termination of the ints14 protein.

Acknowledgments
This image is the copyrighted work of the attributed author or publisher, and ZFIN has permission only to display this image to its users. Additional permissions should be obtained from the applicable author or publisher of the image. Full text @ Dev Reprod