IMAGE

Fig. 4

ID
ZDB-IMAGE-240405-15
Source
Figures for Jung et al., 2023
Image
Figure Caption

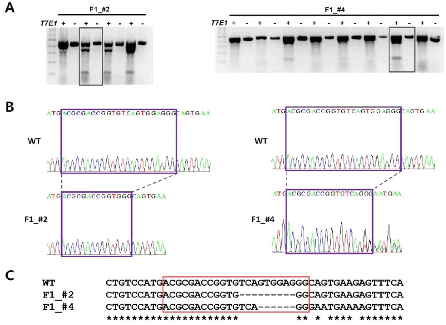
Fig. 4 Generation of ints14 knockout zebrafish model using CRISPR/Cas9 gene editing technology. (A) F0 individuals, upon reaching adulthood, transmitted the ints14 knockout mutation to their offspring, illustrating a high efficiency of targeted mutagenesis for the established lines #2 and #4 by T7E1 assay. (B, C) Results of sequencing found that F1_#2 and F1_#4 individuals exhibited 9 and 6 bp deletions, respectively; thus, frameshift mutation in ints14 led to a modification of the termination site, resulting in the early termination of the ints14 protein.

Acknowledgments
This image is the copyrighted work of the attributed author or publisher, and ZFIN has permission only to display this image to its users. Additional permissions should be obtained from the applicable author or publisher of the image. Full text @ Dev Reprod