FIGURE SUMMARY
Title

Stabilin-1 is required for the endothelial clearance of small anionic nanoparticles

Authors
Arias-Alpizar, G., Koch, B., Hamelmann, N.M., Neustrup, M.A., Paulusse, J.M.J., Jiskoot, W., Kros, A., Bussmann, J.
Source
Full text @ Nanomedicine

Generation and characterization of stab1 and stab1/stab2 mutants. (A) Schematic representation of a stab1 domain structure predicted to be expressed from the wt Stabilin-1 and the stab1ibl3 allele. (B) In situ hybridization (ISH), mRNA expression of stab1, stab2, and mrc1 in wt, stab1ibl3, stab2ibl2 single mutants and stab1ibl3stab2ibl2 double mutant. *Reduced expression. (C) Tg(fli1:RFP fli4:YFP) stab1ibl3 single mutant, stab1ibl3stab2ibl2 double mutant, and sibling at 5 dpf. Scale bar: 250 μm. (d) Representative fertile adult female stab1ibl3 single mutant, stab1ibl3stab2ibl2 double mutant and sibling zebrafish.

Clearance of small anionic NPs occurs mainly through Stabilin-1. (A) Schematics showing the site of injection within a 56 h post fertilization (hpf) wt or Stabilin knockout zebrafish. In a box, the caudal vein region, where SECs expressing Stabilins are located, a representation of NP circulating or cleared by SECs and (B) representative graph comparing intensity of fluorescent NPs in wt and stab mutants. (C-D) Tissue level view and quantification of fluorescently labeled Qdots. (E-F) CCMV-VLP (G-H) SCNPs. After i.v. injection (1 nL) in wt (AB/TL), stab1ibl3, stab2ibl2 single mutants and stab1ibl3stab2ibl2 double mutants at 1-1.5 hpi. Scale bar: 50 μm. Bar height represents median values, dots represent individual data points, and brackets indicate significant values (*P ˂ 0.05, **P ˂ 0.01, ***P ˂ 0.001) based on Kruskal–Wallis tests followed by two-tailed Dunn’s tests with Bonferroni correction.

Combined contribution of Stabilin-1 and Stabilin-2 in the clearance of anionic NPs. (A-B) Tissue level view (40×) and quantification of fluorescently labeled DOPG-liposomes, (C-D) polymersomes, (E-F) PLGA NPs, (G-H) siNPs after i.v. injection (1 nL) in wt (AB/TL), stab1ibl3, stab2ibl2 single and stab1ibl3stab2ibl2 double mutants at 1-1.5 h post injection (hpi). White arrows indicate apparent NP uptake within plasma-exposed macrophages. Scale bar: 50 μm. Graphs represent intensity of fluorescent NPs in wt and stab mutants. Bar height represents median values, dots are individual data points, and brackets indicate significant values (*P ˂ 0.05, **P ˂ 0.01, ***P ˂ 0.001) based on Kruskal–Wallis tests followed by two-tailed Dunn’s tests with Bonferroni correction.

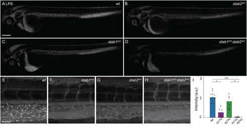
LPS clearance is mediated by Stabilin-1 and Stabilin-2. (A) Biodistribution of Alexa488 LPS (1 nL of 500 μm/mL) in wt (AB/TL), (B) stab2ibl2 mutant, (C) stab1ibl3 mutant, (D) stab1ibl3stab2ibl2 double mutant at 56 hpf, 1.5 hpi, whole body view (10×). Scale bar: 200 μm. (E-H) Tissue level views, caudal region (40×). Scale bar: 50 μm (I) Graph represents intensity of fluorescent LPS in wt and stab mutants. Bar height represents median values, dots represent individual data points, and brackets indicate significant values (*P ˂ 0.05, ***P ˂ 0.001) based on Kruskal–Wallis tests followed by two-tailed Dunn’s tests with Bonferroni correction. The images shown in E-H correspond to the fish used in A-D and are one of the images used for the graph in I.

Acknowledgments
This image is the copyrighted work of the attributed author or publisher, and ZFIN has permission only to display this image to its users. Additional permissions should be obtained from the applicable author or publisher of the image.

Reprinted from Nanomedicine : nanotechnology, biology, and medicine, 34, Arias-Alpizar, G., Koch, B., Hamelmann, N.M., Neustrup, M.A., Paulusse, J.M.J., Jiskoot, W., Kros, A., Bussmann, J., Stabilin-1 is required for the endothelial clearance of small anionic nanoparticles, 102395, Copyright (2021) with permission from Elsevier. Full text @ Nanomedicine