IMAGE

Fig. 4

ID
ZDB-IMAGE-211230-96
Source
Figures for Arias-Alpizar et al., 2021
Image
Figure Caption

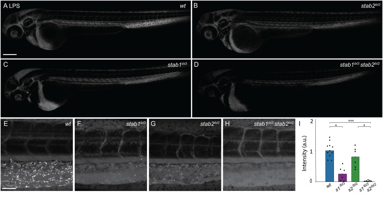
Fig. 4 LPS clearance is mediated by Stabilin-1 and Stabilin-2. (A) Biodistribution of Alexa488 LPS (1 nL of 500 μm/mL) in wt (AB/TL), (B) stab2ibl2 mutant, (C) stab1ibl3 mutant, (D) stab1ibl3stab2ibl2 double mutant at 56 hpf, 1.5 hpi, whole body view (10×). Scale bar: 200 μm. (E-H) Tissue level views, caudal region (40×). Scale bar: 50 μm (I) Graph represents intensity of fluorescent LPS in wt and stab mutants. Bar height represents median values, dots represent individual data points, and brackets indicate significant values (*P ˂ 0.05, ***P ˂ 0.001) based on Kruskal–Wallis tests followed by two-tailed Dunn’s tests with Bonferroni correction. The images shown in E-H correspond to the fish used in A-D and are one of the images used for the graph in I.

Acknowledgments
This image is the copyrighted work of the attributed author or publisher, and ZFIN has permission only to display this image to its users. Additional permissions should be obtained from the applicable author or publisher of the image.

Reprinted from Nanomedicine : nanotechnology, biology, and medicine, 34, Arias-Alpizar, G., Koch, B., Hamelmann, N.M., Neustrup, M.A., Paulusse, J.M.J., Jiskoot, W., Kros, A., Bussmann, J., Stabilin-1 is required for the endothelial clearance of small anionic nanoparticles, 102395, Copyright (2021) with permission from Elsevier. Full text @ Nanomedicine