IMAGE

Fig. 2

ID
ZDB-IMAGE-231020-37
Source
Figures for Pannetier et al., 2023
Image
Figure Caption

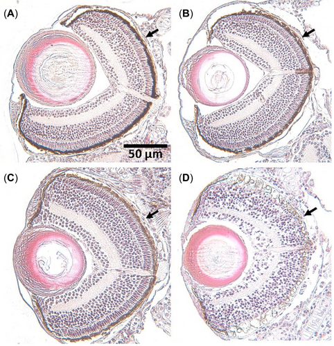
Fig. 2 Semiquantitative severity grading of the loss of pigmentation in the retinal pigment epithelium (indicated by arrows): To account for the different intensity levels of pigmentation loss, four grades were assigned: (A) no effect (control), (B) weak effect (low propylthiouracil [PTU] concentration), (C) clear effect (medium PTU concentration), (D) strong effect (high PTU concentration), after 5 days of exposure.

Acknowledgments
This image is the copyrighted work of the attributed author or publisher, and ZFIN has permission only to display this image to its users. Additional permissions should be obtained from the applicable author or publisher of the image. Full text @ Environ. Toxicol. Chem.