IMAGE

Fig. 4

ID
ZDB-IMAGE-220628-96
Source
Figures for Fontana et al., 2021
Image
Figure Caption

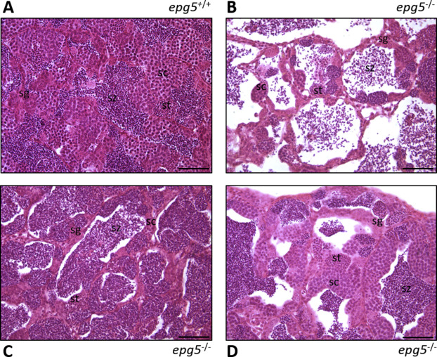
Fig. 4 Fig. 4. Histology of the testes of epg5+/+ (A) and epg5−/− (B, C, D) males. Males (A), (B) and (C) showed 100% of breeding success in previous reproductive trials, whereas male (D) did not reproduced. Scale bar 50 μm sg = spermatogonia; sc = spermatocytes; st = spermatids; sz = spermatozoa.

Figure Data
Acknowledgments
This image is the copyrighted work of the attributed author or publisher, and ZFIN has permission only to display this image to its users. Additional permissions should be obtained from the applicable author or publisher of the image. Full text @ Biomed J