IMAGE

Fig. 7

ID
ZDB-IMAGE-190305-7
Source
Figures for LaBonty et al., 2018
Image
Figure Caption

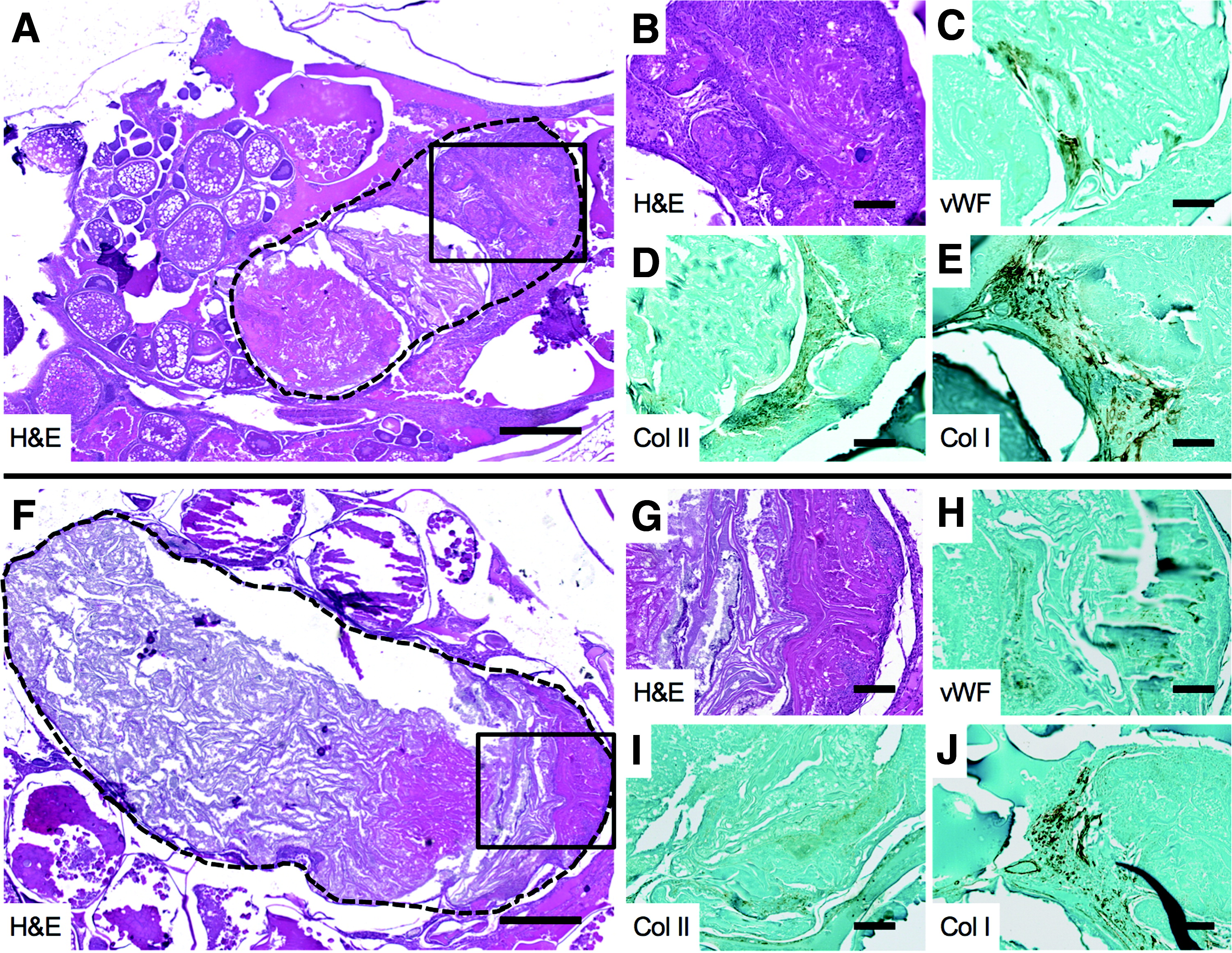
Fig. 7 Cartilage and bone formation in body cavity HO in Acvr1lQ204D-expressing zebrafish. HO lesions in tail fin clip-injured HS Tg(Bre:GFP); Tg(acvr1l_Q204D-mCherry) zebrafish at 2 wpi, paraffin sectioned and H&E stained (A, B, F, G), and analyzed by IHC for vWF (C, H), Col II (D, I), and Col I (E, J). The HO lesion is outlined with a dashed line(A, F). (B, G) Enlarged views of boxed areas in (A, F), respectively. (A, F) 5 × scale bar is 40 μm. (B–E, G–J) 20 × scale bar is 100 μm. Col I, collagen I; Col II, collagen II; vWF, von Willebrand factor.

Figure Data
Acknowledgments
This image is the copyrighted work of the attributed author or publisher, and ZFIN has permission only to display this image to its users. Additional permissions should be obtained from the applicable author or publisher of the image. Full text @ Zebrafish