IMAGE

Fig. 3

ID
ZDB-IMAGE-180322-18
Antibodies
Source
Figures for Wang et al., 2017
Image
Figure Caption

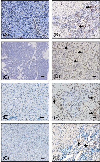
Fig. 3

Immunohistochemical examination of ICC in WT and Tg(fabp10:nras 61K) transgenic zebrafish at 12 mpf. Immunohistochemical images of PCNA (A), CK19 (C), phosphorylated ERK (pERK) (E), phosphorylated MEK1/2 (pMEK1/2) (G) in WT and Tg(fabp10:nras 61K) transgenic zebrafish at 12 mpf. Tumor surrounding tissue of Tg(fabp10:nras 61K) transgenic zebrafish liver showing intense PCNA (B), CK19 (D), pERK (F), pMEK1/2 (H) immunostaining in Tg(fabp10:nras 61K) transgenic zebrafish at 12 mpf. Immunostaining signals in the bile duct of Tg(fabp10:nras 61K) transgenic zebrafish liver are indicated by arrowheads. Scale bars: 50 µm.

Figure Data
Acknowledgments
This image is the copyrighted work of the attributed author or publisher, and ZFIN has permission only to display this image to its users. Additional permissions should be obtained from the applicable author or publisher of the image. Full text @ Sci. Rep.