FIGURE
Fig. 3
- ID
- ZDB-FIG-200515-20
- Publication
- Bassi et al., 2020 - Knocking-down of the Prokineticin receptor 2 affects reveals its complex role in the regulation of the hypothalamus-pituitary-gonadal axis in the zebrafish model
- Other Figures
- All Figure Page
- Back to All Figure Page
Fig. 3
|
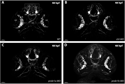
Injection of ctrl-MO (B) or prokr1a-MO (C) does not afect GnRH3 neuron fbers, as they look comparable to uninjected WT (A) embryos. In contrast, knockdown of prokr1b (D) causes alteration in axons migration of the rostral part (dotted square in Fig A) and at the level of the anterior commissure (AC) of the embryos. OB=olfactory bulbs, OC=optic chiasm, AC=anterior commissure. Scale bar=50 µm. |
Expression Data
Expression Detail
Antibody Labeling
Phenotype Data
| Fish: | |
|---|---|
| Knockdown Reagents: | |
| Observed In: | |
| Stage: | Long-pec |
Phenotype Detail
Acknowledgments
This image is the copyrighted work of the attributed author or publisher, and
ZFIN has permission only to display this image to its users.
Additional permissions should be obtained from the applicable author or publisher of the image.
Full text @ Sci. Rep.