FIGURE

Fig. 7

ID
ZDB-FIG-190822-7
Publication
Üstündağ et al., 2019 - White LED Light Exposure Inhibits the Development and Xanthophore Pigmentation of Zebrafish Embryo
Other Figures
All Figure Page
Back to All Figure Page
Fig. 7

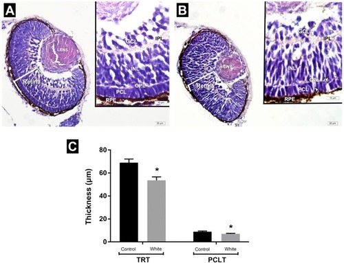
(A,B) Representative photomicrographs of the eyes of zebrafish embryos in the white light control and white LED light exposed groups at 72 hpf. White light control group. (A) Retina with regular layers. White LED light group. (B) disorganization of photoreceptor cells including spaces among cells. (C) Assesment of measurement of the thickness of total retina and photoreceptor cell layer. INL: Inner nuclear layer; GCL: Ganglion cell layer; PCL: Photoreceptor cell layer; IPL: Inner plexiform layer; OPL: Outer plexiform layer; TRT: Total retinal thickness; PCLT: Photoreceptor cell layer thickness; HE staining.
 

Expression Data

Expression Detail
Antibody Labeling
Phenotype Data
Fish:
Condition:
Observed In:
Stage: Protruding-mouth

Phenotype Detail
Acknowledgments
This image is the copyrighted work of the attributed author or publisher, and ZFIN has permission only to display this image to its users. Additional permissions should be obtained from the applicable author or publisher of the image. Full text @ Sci. Rep.