FIGURE
Fig. 2
- ID
- ZDB-FIG-180329-17
- Publication
- Zheng et al., 2017 - Spexin Suppress Food Intake in Zebrafish: Evidence from Gene Knockout Study
- Other Figures
- All Figure Page
- Back to All Figure Page
Fig. 2
|
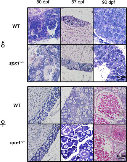
Gonad histology of the zebrafish spx1 −/− mutant lines during puberty. Male and female zebrafish were sampled at 50, 57 and 90 dpf. |
Expression Data
Expression Detail
Antibody Labeling
Phenotype Data
| Fish: | |
|---|---|
| Observed In: | |
| Stage Range: | Days 45-89 to Adult |
Phenotype Detail
Acknowledgments
This image is the copyrighted work of the attributed author or publisher, and
ZFIN has permission only to display this image to its users.
Additional permissions should be obtained from the applicable author or publisher of the image.
Full text @ Sci. Rep.