FIGURE

Fig. 2

ID
ZDB-FIG-180112-11
Publication
Facchinello et al., 2017 - nr3c1 null mutant zebrafish are viable and reveal DNA-binding-independent activities of the glucocorticoid receptor
Other Figures
All Figure Page
Back to All Figure Page
Fig. 2

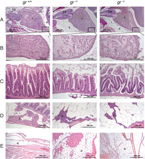
Histology of 8-month-old gr −/− and gr +/+ zebrafish. All histological images of 8-month-old gr −/− and gr +/+ zebrafish were taken from longitudinal sections stained with haematoxylin and eosin (H&E). The left panels represent wild type fish, whereas the middle and right panels show tissues from two mutant fish. (A) heart; (B) particular of the heart at higher magnification showing reduced trabecular network in the mutant samples; (C) intestinal mucosa with sloughing epithelium at the villous tips and reduced height of villi in mutants; (D) visceral view showing reduced extension of pancreas in mutants; (E) consistent increase of subcutaneous adipose tissue in mutants. ba = bulbus arteriosus; v = ventricle; a = adipose tissue; i = intestine; p = pancreas; t = trabeculae.

Expression Data

Expression Detail
Antibody Labeling
Phenotype Data
Fish:
Observed In:
Stage: Adult

Phenotype Detail
Acknowledgments
This image is the copyrighted work of the attributed author or publisher, and ZFIN has permission only to display this image to its users. Additional permissions should be obtained from the applicable author or publisher of the image. Full text @ Sci. Rep.