FIGURE
            Fig. 8
- ID
 - ZDB-FIG-090831-8
 - Publication
 - Insinna et al., 2009 - Different roles for KIF17 and kinesin II in photoreceptor development and maintenance
 - Other Figures
 - All Figure Page
 - Back to All Figure Page
 
                
                    
                        Fig. 8
                    
                    
                
                
            
        
        
    
        
            
            
| 
            
    
    
    
            
            
            
            
                
                    
                    
                        
                        
                        
                            
                            
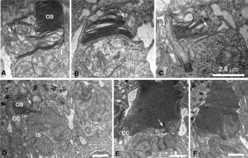
 Disruption of the outer segment (OS) structure in cones expressing DNKIF17. A-D: Electron microscopy (EM) views of cones at the retinal periphery at 5 days after injection of Ta-CP driving DNKIF17. Note disrupted OS structure with failure to complete disc edges as shown by arrows. E: EM view of a cone in the central retina accumulating vesicular membranes within the base of the OS (arrows) opposite the cilium (CC). F: Normal rod photoreceptor. Scale bars = 2.5 μm in C (applies to A-C).  | 
    
                
                    
                        Expression Data
                    
                    
                
                
            
        
        
    
        
            
            
            
            
    
    
                
                    
                        Expression Detail
                    
                    
                
                
            
        
        
    
        
            
                
            
        
    
    
    
                
                    
                        Antibody Labeling
                    
                    
                
                
            
        
        
    
        
            
                
            
        
    
    
    
                
                    
                        Phenotype Data
                    
                    
                
                
            
        
        
    
        
            
            
            
            
    
    
                
                    
                        Phenotype Detail
                    
                    
                
                
            
        
        
    
        
            
                
            
        
    
    
    
                
                    
                        Acknowledgments
                    
                    
                
                
            
        
        
    
        
            
            
                
                    
This image is the copyrighted work of the attributed author or publisher, and
ZFIN has permission only to display this image to its users.
Additional permissions should be obtained from the applicable author or publisher of the image.
      Full text @ Dev. Dyn.