IMAGE

Fig. 4 - Supplemental 1

ID
ZDB-IMAGE-250825-98
Source
Figures for Wang et al., 2025
Image
Figure Caption

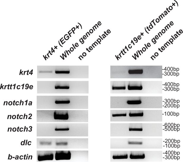
Fig. 4 - Supplemental 1 Gene expressions in keratinocytes. RT-PCR analysis revealed the endogenous expression of krt4, krtt1c19e, notch1a, notch 2, notch 3, and dlc in keratinocytes. These cells were FACS-sorted for EGFP+ cells from Tg(krt4:lyn-EGFP) and for tdTomato+ cells from Tg(krtt1c19e:tdTomato). Whole genome cDNA was used as a positive control, and reactions without a template served as negative controls.

Acknowledgments
This image is the copyrighted work of the attributed author or publisher, and ZFIN has permission only to display this image to its users. Additional permissions should be obtained from the applicable author or publisher of the image. Full text @ Elife