IMAGE

Fig. 5

ID
ZDB-IMAGE-230912-19
Source
Figures for Mathavarajah et al., 2023
Image
Figure Caption

Fig. 5

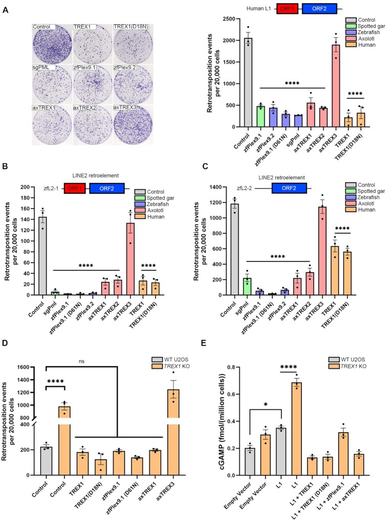
sgPml, Plex9 and axTREX1 proteins suppress LINE-1 (L1) activity in an exonuclease-independent manner. (A) Retrotransposition of human L1 was assessed with the co-expression of the FLAG-tagged versions of the indicated proteins. Resultant plates from the assay (right) were stained with 0.5% crystal violet and quantified. Retrotransposition activity of zebrafish L1 elements were also assessed in (B, left) zfL2-1 and (C, right) zfL2-2 (n = 3 for human L1, zfL2-1 and zfL2-2). (D) A TREX1 knockout was generated using CRISPR/Cas9 and validated in U2OS (details in Supplementary Figure S12). (D) Retrotransposition activity was elevated in TREX1 knockouts and addback of the zfPlex9.1 and zfPlex9.2, as well as axTREX1 and axTREX2 (n = 3). (E) 2′,3′-cGAMP levels in U2OS WT and TREX1 knockout cells after the transfection of an empty vector and the human L1 vector (n = 3). 2′,3′-cGAMP concentrations were normalized to cell number for each experiment. All proteins were expressed with a FLAG epitope with the exception of GFP-TREX1(D18N). Controls represent empty vector (FLAG-tag backbone) used in the co-transfection with the L1 plasmid. All experiments were analysed by a repeated measures one-way ANOVA and then a Tukey's multiple comparisons test between groups. Asterisks indicate the following: ****P< 0.0001, ***P < 0.001, **P < 0.01, *P < 0.05.

Acknowledgments
This image is the copyrighted work of the attributed author or publisher, and ZFIN has permission only to display this image to its users. Additional permissions should be obtained from the applicable author or publisher of the image. Full text @ Nucleic Acids Res.