IMAGE

Fig. 4

ID
ZDB-IMAGE-221108-4
Genes
Source
Figures for Kowatschew et al., 2021
Image
Figure Caption

Fig. 4

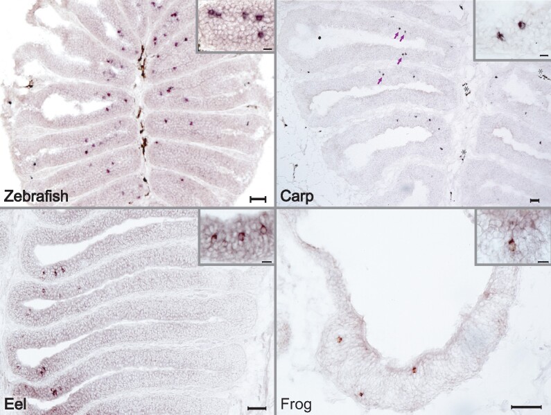
Across a wide evolutionary range adorb is expressed in sparsely distributed cells within the olfactory epithelium. Species-specific adorb1 probes were used to perform chromogenic ISH of horizontal cryostat sections of olfactory epithelia for three fish (zebrafish, top left panel; carp, top right panel; eel, bottom left panel) and one amphibian species (clawed frog, bottom right panel). Insets at higher magnification; scale bars in main panels 50 µm, in insets 10 µm.

Figure Data
Acknowledgments
This image is the copyrighted work of the attributed author or publisher, and ZFIN has permission only to display this image to its users. Additional permissions should be obtained from the applicable author or publisher of the image. Full text @ Genome Biol. Evol.