IMAGE

Figure 4

ID
ZDB-IMAGE-221031-52
Source
Figures for Jiang et al., 2022
Image
Figure Caption

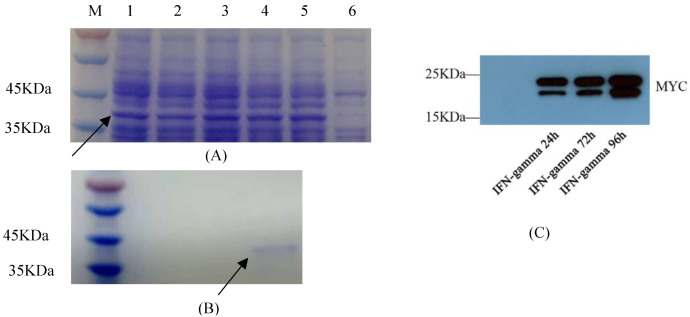
Figure 4

Exogenous expression of GmIFN–γ. (A) Optimization of prokaryotic expression conditions. Nos. 1–5 indicate that the protein was induced for 1–5 h. No. 6 was set as the control. Target protein was marked by arrow. (B) Purification of GmIFN–γ from E. coli. Target protein was marked by arrow. (C) GmIFN–γ expressed in yeast GS115 and detected using Western blot at 24, 72 and 96 h, respectively.

Acknowledgments
This image is the copyrighted work of the attributed author or publisher, and ZFIN has permission only to display this image to its users. Additional permissions should be obtained from the applicable author or publisher of the image. Full text @ Viruses