IMAGE

Figure 4

ID
ZDB-IMAGE-200718-61
Source
Figures for Wu et al., 2020
Image
Figure Caption

Figure 4

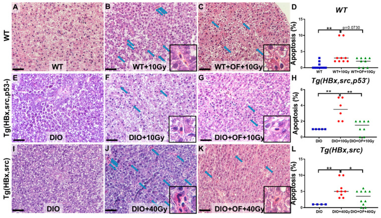
Representative images of hepatocyte apoptosis detected on hematoxylin and eosin (H&E) stain liver specimen from WT and transgenic fish with radiation without Oligo-Fucoidan or with Oligo-Fucoidan pretreatment. The images were taken at 400× magnification, and the scale shown is for 30 µm; the box area is enlarged to show the hepatocyte apoptosis, and the blue arrows pointed to the apoptotic hepatocytes. (A–C) The hepatocyte apoptosis in wild-type fish (WT) with 10 Gy irradiation (WT + 10 Gy) or treatment of Oligo-Fucoidan before 10 Gy irradiation (WT + OF + 10 Gy). (D) Statistical analysis of hepatocyte apoptosis feature of WT fish. (E–G) The hepatocyte apoptosis in Tg (HBx, src, p53−) transgenic fish with diet-induced obesity (DIO) with 10 Gy irradiation (DIO + 10 Gy) or treatment of Oligo-Fucoidan before 10 Gy irradiation (DIO + OF + 10 Gy). (H) Statistical analysis of hepatocyte apoptosis feature of Tg (HBx, src, p53−) fish. (I–K) The hepatocyte apoptosis in Tg (HBx, src) transgenic fish with diet-induced obesity (DIO) with 10 Gy irradiation (DIO + 40 Gy) or treatment of Oligo-Fucoidan before 40 Gy irradiation (DIO + OF + 40 Gy). (L) Statistical analysis of hepatocyte apoptosis feature of Tg (HBx, src) fish. The data are presented as dot plots with a horizontal line for the mean and are repeated in triplicate. The statistical significance was calculated using Student’s t-test (* p < 0.05, ** p < 0.01).

Figure Data
Acknowledgments
This image is the copyrighted work of the attributed author or publisher, and ZFIN has permission only to display this image to its users. Additional permissions should be obtained from the applicable author or publisher of the image. Full text @ Cancers