IMAGE

Fig. 5

ID
ZDB-IMAGE-150518-33
Source
Figures for Kim et al., 2015
Image
Figure Caption

Fig. 5

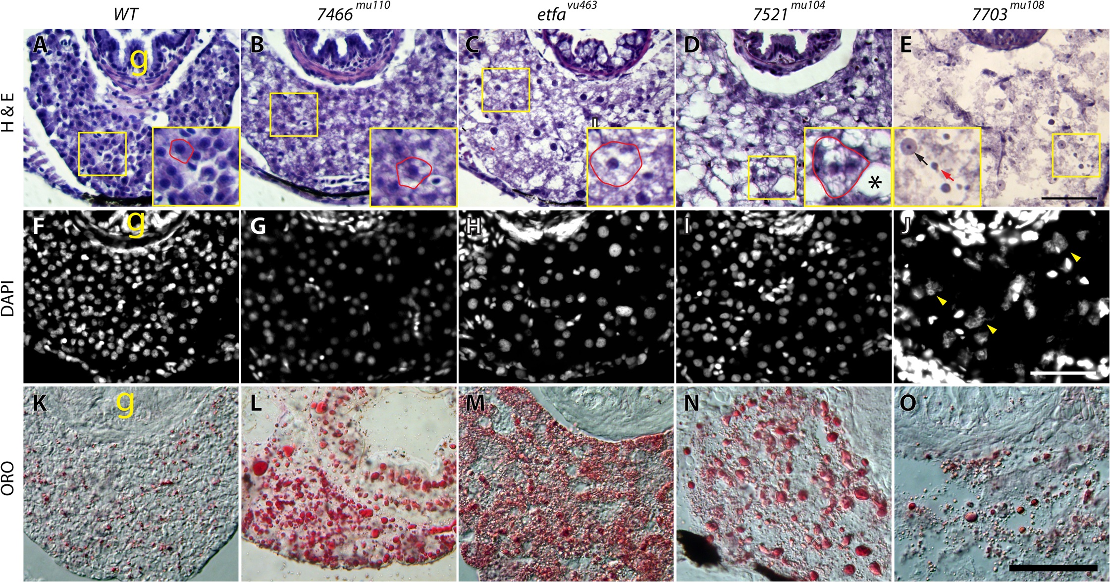
Histological phenotypes.

On the left panel, H & E (top), DAPI (middle) and oil red oil (ORO, bottom) stained zebrafish livers at 8 dpf are shown. Wild-type control (A,F,K), and mutants (B-E, G-J, L-O) are shown. (B) shows and example of microvesicles in hepatocytes, (C) depicts a liver with swollen hepatocytes, (D) shows a liver with accumulation of large vesicles, and prenecrotic hepatocytes (asterisk), while (E) shows hepatic lysis. The black arrow in (E) points to a nucleus with nuclear membrane and the red arrow points to a condensed nucleus without nuclear membrane. The yellow arrowheads in (J) indicate granulated nuclei. g = gut. Scale bar = 100 µm (A-E) and 50 µm (F-O). n = 9/9 per control and each mutant.

Figure Data
Acknowledgments
This image is the copyrighted work of the attributed author or publisher, and ZFIN has permission only to display this image to its users. Additional permissions should be obtained from the applicable author or publisher of the image. Full text @ PLoS One