IMAGE

Fig. 4

ID
ZDB-IMAGE-121102-13
Source
Figures for Sager et al., 2012
Image
Figure Caption

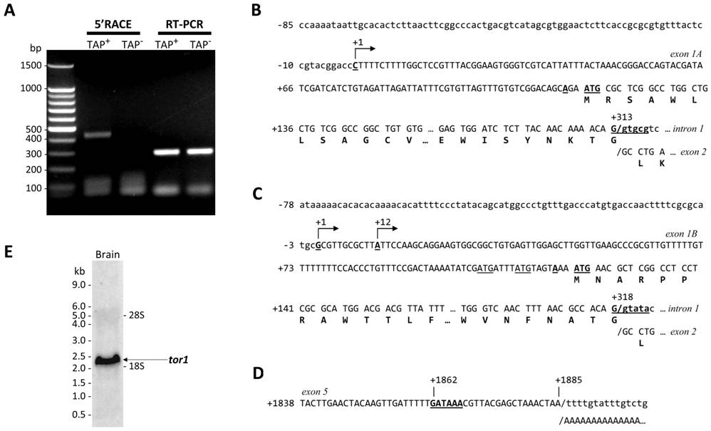
Fig. 4 tor1 promoters and transcripts.

A: Zebrafish brain total RNA was treated with tobacco acid pyrophosphatase (TAP+; lanes 2 and 4) or untreated (TAP; lanes 3 and 5) prior to RACE adapter ligation and reverse transcription. tor1 was amplified by 5′RACE using a tor1 exon 2 reverse primer and a RACE adapter primer (lanes 2 and 3) or by RT-PCR using tor1 primers (lanes 4 and 5). B, C: The transcriptional start sites of tor1_tv1 (B) and tor1_tv2 (C) were determined by comparing the genomic sequence with sequences of the 5′ RACE products shown in panel A. The transcriptional start sites are shown underlined with arrows; bases are numbered such that +1 represents the first nucleotide of the most 5′ transcriptional start site. The open reading frames of exons 1A and 1B and their 3′ splice sites are shown. The consensus ANNAUG< translational initiation signals are indicated in bold and underlined; non-consensus AUG sequences in the 5′UTR of tor1_tv2 are underlined. D: 3′RACE was employed to determine the 3′ terminus of the transcript. The polyadenylation signal within exon 5 is underlined in bold. The position of the poly(A) tail in the mRNA is indicated. E: Brain total RNA was separated electrophoretically and the resulting northern blot was probed using a cRNA probe to tor1. The positions of molecular size standards and the 28S and 18S rRNA bands are shown.

Acknowledgments
This image is the copyrighted work of the attributed author or publisher, and ZFIN has permission only to display this image to its users. Additional permissions should be obtained from the applicable author or publisher of the image. Full text @ PLoS One