IMAGE

Fig. 4

ID
ZDB-IMAGE-100913-17
Genes
Source
Image
Figure Caption

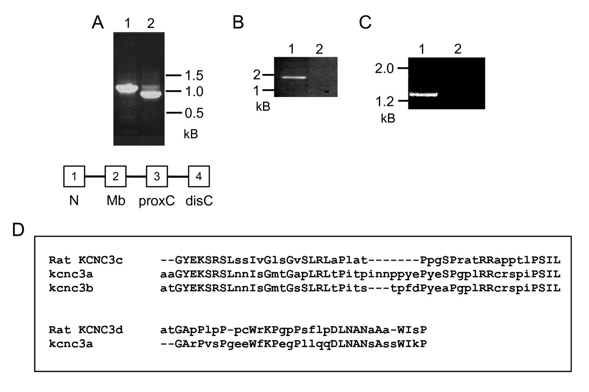
Fig. 4 Zebrafish contain two Kv3.3 genes. A) Properly-spliced products of the expected sizes are amplified by RT-PCR using kcnc3a- and kcnc3b-specific primers. Lane 1: Product of kcnc3a-specific primers in exons 1 and 2 as indicated in cartoon below gel, which shows the conserved genomic arrangement of Kv3 protein coding exons 1 (N terminus), 2 (S1-S6 membrane domain), 3 (proximal C terminus), and 4 (distal C terminus) (Table 1). Cartoon is not drawn to scale. Lane 2: Product of kcnc3b-specific primers in exons 2 and 3. B), C) Mixed primers from kcnc3a and kcnc3b fail to amplify products. Lanes 1: In B, product of kcnc3a-specific primers in exons 1 and 4 (specific for ′PSIL′ carboxyl terminus [see part D]); In C, product of kcnc3b-specific primers in exons 2 and 4. Lanes 2: In B, mixture of kcnc3a-specific primer in exon 1 and kcnc3b-specific primer in exon 4; In C, mixture of kcnc3b-specific primer in exon 2 and kcnc3a-specific primer in exon 4. Primer sequences are provided in additional file 2, Fig. S2. D) Distal carboxyl termini generated by alternative splicing of kcnc3a have been aligned with orthologous sequences from rat Kcnc3 gene. Identical residues are shown in caps. RT-PCR analysis indicates that both kcnc3a variants are expressed in embryonic zebrafish (data not shown). Both kcnc3a variants, ending in ′WIKP′ or ′PSIL′, were cloned for functional analysis. Only one exon encoding the distal carboxyl terminus of kcnc3b has been identified in Zv8. Accession numbers for rat splice variants: [GenBank:AY179603.1, GenBank:AY179604.1].

Figure Data
Acknowledgments
This image is the copyrighted work of the attributed author or publisher, and ZFIN has permission only to display this image to its users. Additional permissions should be obtained from the applicable author or publisher of the image. Full text @ BMC Neurosci.