IMAGE

Fig. S5

ID
ZDB-IMAGE-100422-18
Source
Figures for Speirs et al., 2010
Image
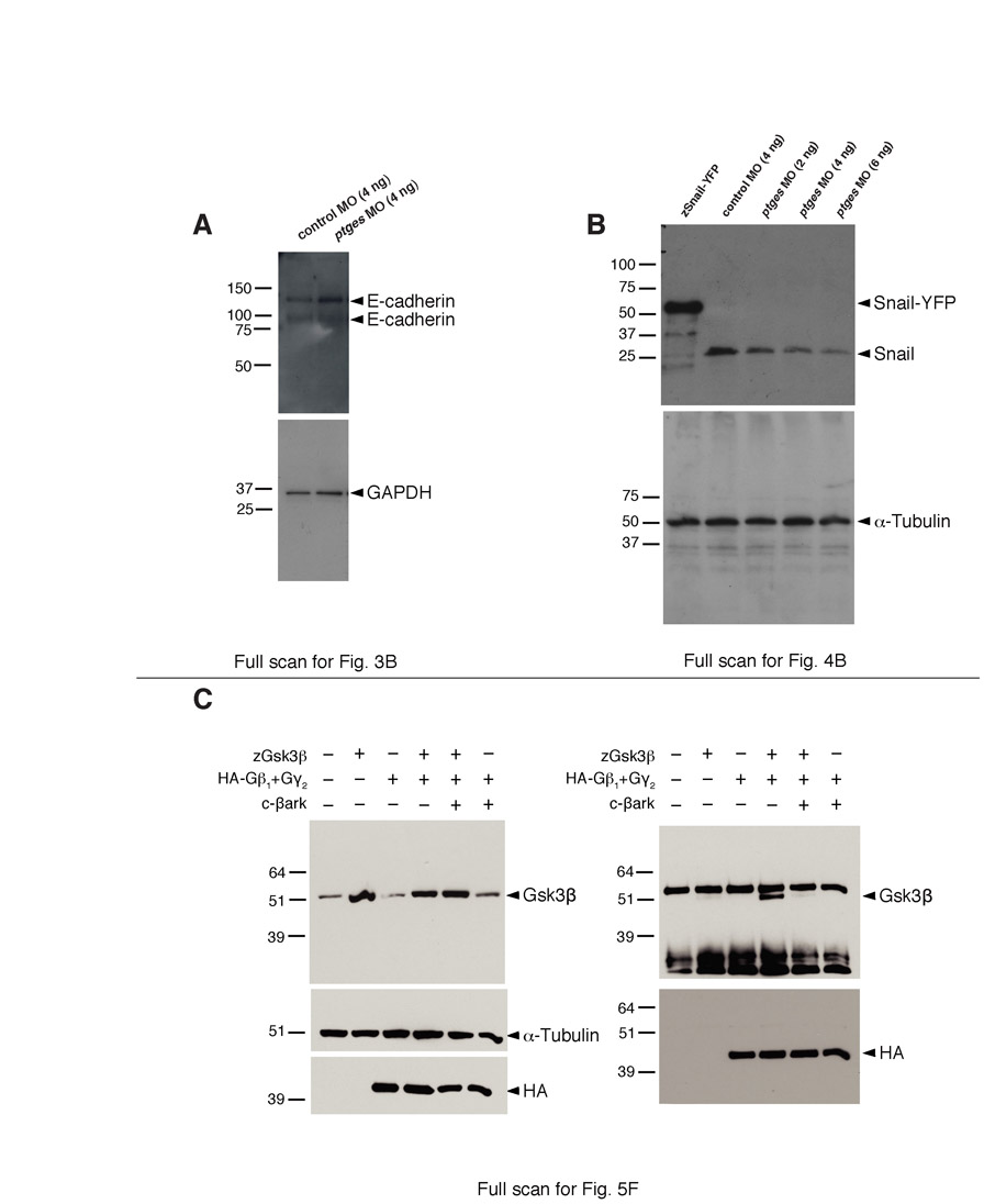
Figure Caption

Fig. S5 Full scans for all the western blots shown. (A) Full scan for Fig. 3B; (B) Full scan for Fig. 4B; (C) Full scan for Fig. 5F.

Acknowledgments
This image is the copyrighted work of the attributed author or publisher, and ZFIN has permission only to display this image to its users. Additional permissions should be obtained from the applicable author or publisher of the image. Full text @ Development