IMAGE

Fig. 4

ID
ZDB-IMAGE-090717-46
Source
Figures for Lee et al., 2009
Image
Figure Caption

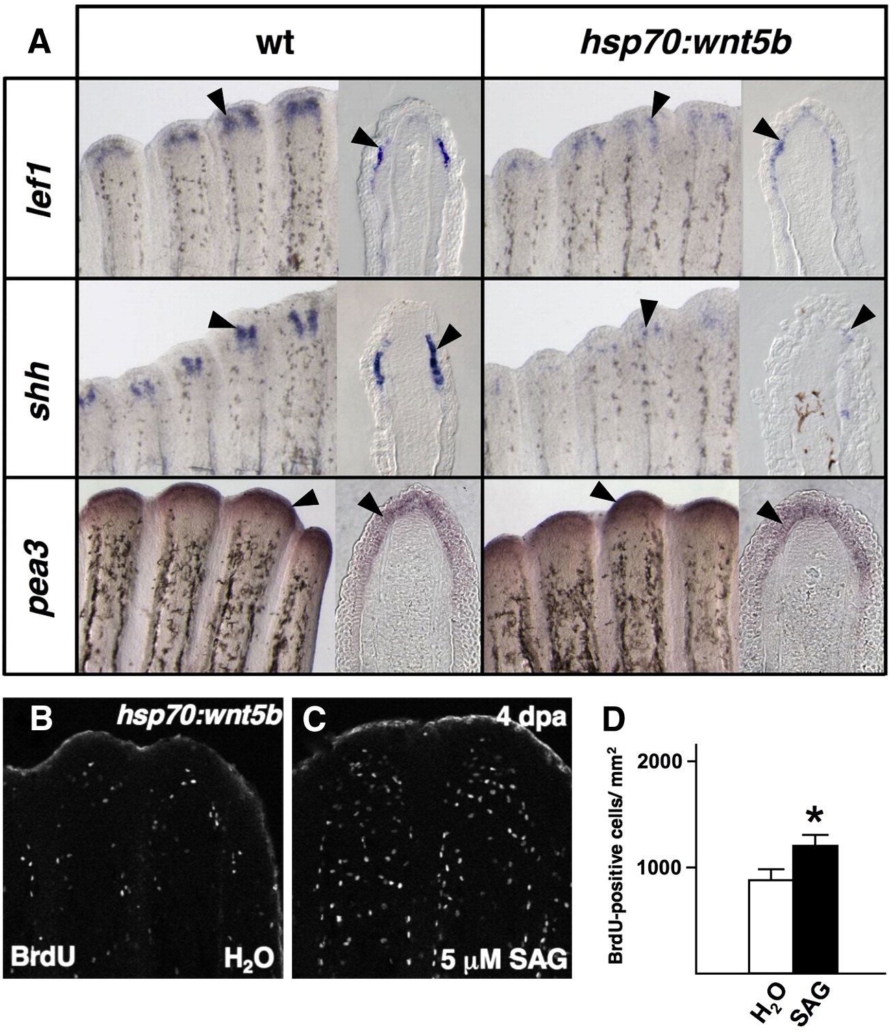
Fig. 4 Wnt5b restricts epidermal expression of shh. (A) Whole-mount ISH and representative sections of epidermal gene expression 5 h after a single heat-shock in 4 dpa wildtype and hsp70:wnt5b fin regenerates. Ectopic overexpression of wnt5b diminishes expression of epidermal markers lef1 and shh (arrowheads), while it has no detectable effect on the Fgf target gene pea3. (B, C) Images of BrdU incorporation in 4 dpa fin regenerates of hsp70:wnt5b animals given a heat-shock, followed by SAG or vehicle treatment. SAG treatment partially rescued proliferation in hsp70:wnt5b regenerates. (D) Quantification of BrdU-positive cells in SAG- and vehicle-treated hsp70:wnt5b animals (n = 9; mean ± SEM; Student′s t-test, *P < 0.05).

Acknowledgments
This image is the copyrighted work of the attributed author or publisher, and ZFIN has permission only to display this image to its users. Additional permissions should be obtained from the applicable author or publisher of the image.

Reprinted from Developmental Biology, 331(2), Lee, Y., Hami, D., De Val, S., Kagermeier-Schenk, B., Wills, A.A., Black, B.L., Weidinger, G., and Poss, K.D., Maintenance of blastemal proliferation by functionally diverse epidermis in regenerating zebrafish fins, 270-280, Copyright (2009) with permission from Elsevier. Full text @ Dev. Biol.