IMAGE

Fig. S5

ID
ZDB-IMAGE-090325-12
Source
Figures for Goessling et al., 2009
Image
Figure Caption

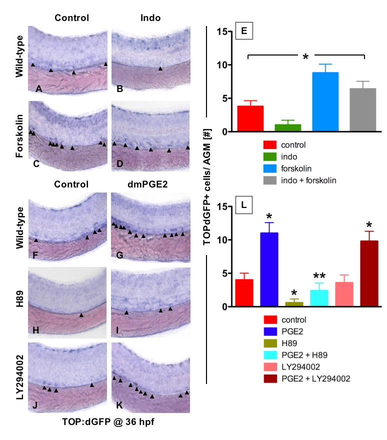
Fig. S5 PGE2 enhances wnt activity in the HSC compartment via the PKA/cAMP pathway
(A – D, F - K) In situ hybridization for GFP in TOP:dGFP wnt reporter embryos following treatment with modifiers of PGE2/cAMP/PKA-mediated signaling at 36 hpf.
(A and C) cAMP stimulation by forskolin (0.5μM) enhanced the number of wnt active cells within the tail region of the zebrafish embryo.
(B and D) Indomethacin (10μM) decreased wnt activity in the zebrafish embryo. This effect could be rescued by the addition of forskolin.
(E) Quantitative summary of the effects of indomethacin and forskolin on TOP:dGFP+ cells in the AGM region. * statistically significant between each other, ANOVA, p< 0.001, n=10).
(F and G) Exposure to dmPGE2 enhanced GFP expression in the tail region.
(H and I) PKA inhibition by H89 (0.5μM) decreased wnt activity in wild-type embryos and diminished the wnt-enhancing effects of dmPGE2.
(J and K) Inhibition of PI3K by LY294002 (1μM) had no effect on wnt activity in wildtype and dmPGE2-treated embryos.
(L) Summary of the effects of dmPGE2, H89, and LY294002 on TOP:dGFP+ cells in the AGM region. * statistically significant between each other, ANOVA, p<0.001, n=10).

Acknowledgments
This image is the copyrighted work of the attributed author or publisher, and ZFIN has permission only to display this image to its users. Additional permissions should be obtained from the applicable author or publisher of the image.

Reprinted from Cell, 136(6), Goessling, W., North, T.E., Loewer, S., Lord, A.M., Lee, S., Stoick-Cooper, C.L., Weidinger, G., Puder, M., Daley, G.Q., Moon, R.T., and Zon, L.I., Genetic interaction of PGE2 and Wnt signaling regulates developmental specification of stem cells and regeneration, 1136-1147, Copyright (2009) with permission from Elsevier. Full text @ Cell