IMAGE

Fig. 4

ID
ZDB-IMAGE-080702-29
Source
Figures for Lee et al., 2008
Image
Figure Caption

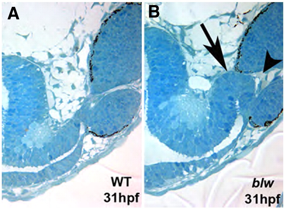
Fig. 4 Optic stalk morphology is abnormal in blowout. Single 1.25 μm oblique histological sections taken from 31 hpf wild-type (A) and blw (B) embryos taken at the same plane of sectioning. The optic stalk in blw is larger and kinked at the distal end (arrow in panel B). Optic stalk tissue is present at the choroid fissure and appears to prevent the lateral edges of the fissure from meeting and fusing (arrowhead).

Figure Data
Acknowledgments
This image is the copyrighted work of the attributed author or publisher, and ZFIN has permission only to display this image to its users. Additional permissions should be obtained from the applicable author or publisher of the image.

Reprinted from Developmental Biology, 319(1), Lee, J., Willer, J.R., Willer, G.B., Smith, K., Gregg, R.G., and Gross, J.M., Zebrafish blowout provides genetic evidence for Patched1-mediated negative regulation of Hedgehog signaling within the proximal optic vesicle of the vertebrate eye, 10-22, Copyright (2008) with permission from Elsevier. Full text @ Dev. Biol.