IMAGE

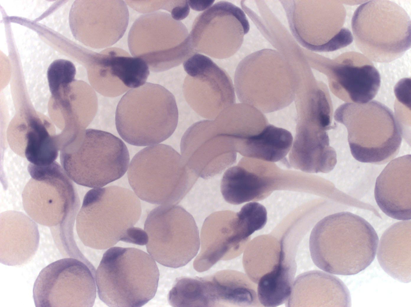
Fig. 1

ID
ZDB-IMAGE-050506-1084
Genes
Source
Figures for Thisse et al., 2004[IMAGE:6904058]
Image
Figure Caption

Fig. 1 not spatially restricted

Developmental Stage
1-cell to Pec-fin
Orientation
Preparation Image Form View Direction
whole-mount still not specified not specified
Figure Data